تُعد أمراض الاسنان من أكثر المشكلات الصحية انتشارًا حول العالم؛ إذ تصيب ما يقرب من 3.5 بليون شخص وفقًا لإحصائيات منظمة الصحة العالمية (WHO) لعام 2022. ويُعد تسوس الأسنان من أبرز أمراض الاسنان؛ إذ يصيب أكثر من 514 مليون طفل لم تتبدل أسنانهم اللبنية بعد.
وللأسف، تؤثر أمراض الفم و الأسنان في قدرة الإنسان على الأكل، وثقته بنفسه، ومشاركته في المجتمع؛ بل وتمتد آثارها أحيانًا إلى حدوث مشكلات صحية خطيرة، مثل: أمراض القلب أو الجهاز التنفسي، وغيرها من المضاعفات.
لكن، لا داعي للقلق؛ سنأخذكم معنا في رحلة لاكتشاف أهم المشكلات التي تُصيب الأسنان، وأسبابها، وأفضل طرق العلاج التي تقدمها افضل عيادة اسنان بالرياض في مجمع عيادات رها الطبي؛ لتبدأ أولى خطواتكم نحو ابتسامة صحية تدوم طويلًا!
ما أشهر أمراض الاسنان؟
تتعدد أمراض الفم و الأسنان وتؤثر سلبًا في صحة الإنسان، وتتراوح من مشكلات بسيطة إلى مشكلات تحتاج لتدخل طبي من خلال عيادة طبيب الأسنان، إليك أهم 11 مشكلة قد تصيب أسنانك وأسبابها وعلاجها:
- 
ألم الأسنان (Toothache)
يُعد ألم الأسنان إنذارًا أوليًا لاكتشاف أمراض الاسنان؛ فقد يحدث نتيجة قطعة طعام علقت بين أسنانك أو أي شيء آخر تسبب في تهيج اللثة، وعادة ما يختفي هذا الألم بمجرد إزالة السبب.
ولكن إذا كان ألم الأسنان حادًا لدرجة لا تُحتمل، فقد يكون السبب حدوث عدوى أو تسوس أو كسر أو حتى صرير الأسنان، وفي هذه الحالة، يتطلب الألم تدخلًا طبيًا عاجلًا، ولا سيما إذا صاحبه أعراض أخرى، مثل: الحمى والرعشة.
يمكنك تناول المسكنات التي لا تحتاج إلى وصفة طبية، مثل: الأسيتامينوفين أو الإيبوبروفين؛ لتخفيف الألم مؤقتًا؛ حتى تصل إلى عيادة طبيب الأسنان، وهناك -بالطبع- سيُحدد السبب ويُعالجه بطريقة تُنهي الألم تمامًا.
- 
تصبغ الأسنان (Stained Teeth)
يُعرف تصبغ الأسنان بأنه أي لون يظهر على أسنانك، سواء كان لونًا أصفر أو أبيض أو أي لون داكن.
وعادة ما يكون السبب وراء التصبغ هو التدخين أو تناول الشاي والقهوة، وحتى بعض الأدوية، وقد ينتج تصبغ الأسنان بعد إصابة أسنانك بحادث سقوط مثلًا، ولكن يبقى السبب الرئيس وراء تصبغ الأسنان هو سوء العناية بفمك وأسنانك؛ مما قد يؤدي إلى تطور أمراض الاسنان الأخرى.
يمكن علاج تصبغ الأسنان بأحدث تقنيات تبييض الأسنان والحشوات التجميلية وقشور الفينير التي تقدمها عيادة الأسنان في مجمع عيادات رها الطبي.
وننصحك بتنظيف الأسنان المنتظم مرتين يوميًا بمعجون الأسنان والفرشاة، مع استخدام خيط الأسنان مرة يوميًا، والحد من تناول المشروبات التي تسبب تصبغ الأسنان، والتوقف عن التدخين.
- 
تسوس الأسنان (Tooth decay)
يُعد تسوس الأسنان أشهر أمراض الأسنان التي تصيب ما يصل إلى 90% من أطفال المدارس وفقًا لما أقرته وزارة الصحة السعودية، وأحد أسباب فقد الأسنان في البالغين.
يحدث تسوس الأسنان بسبب تناول الحلويات والمشروبات المحلاة، مع سوء العناية بالأسنان، فتتراكم البكتيريا التي تهاجم مينا الأسنان، وتحدث فراغات أو تآكل في الأسنان مسببةً الألم وحساسية الأسنان ورائحة الفم الكريهة.
لا يمكن علاج التسوس في المنزل ولا بد من زيارة طبيب الأسنان لعلاج فراغات الأسنان التي سببها التسوس باستخدام الحشوات المؤقتة أو الدائمة وفقًا للحالة.
- 
خراج الأسنان (Dental abscess)
يحدث خراج الأسنان بسبب عدوى بكتيرية تؤدي إلى تراكم الصديد داخل السن أو في اللثة أو حتى في العظام الداعمة للأسنان، مما يسبب ألمًا واحمرارًا وتورمًا في اللثة، وقد يمتد الألم إلى الأذن أو الفك أو حتى الرقبة.
يتطلب خراج الأسنان تدخلًا عاجلًا من طبيب الأسنان للتخلص من البكتيريا والصديد التي تفرزه؛ لتجنب انتشار العدوى إلى أي أجزاء أخرى من الوجه أو الرقبة أو حتى الدماغ.
ويتضمن علاج الخراج إما خلع الضرس المصاب أو الحفاظ عليه مع علاج قناة الجذر ووضع الحشوات المناسبة، ولا داعي للقلق فلن تشعر بالألم، مع عيادات رها للأسنان، التي تستخدم أفضل أنواع التخدير لضمان راحتك التامة.
- 
حساسية الأسنان (Teeth Sensitivity)
توصف حساسية الأسنان بأنها ألم حاد ومفاجئ، وكأن صدمة كهربائية تصيبك عند ملامسة أسنانك لمشروب بارد أو ساخن، أو حتى عند تناول شيء حلو أو حامض.
قد تكون حساسية الأسنان بمثابة إنذار لأحد أمراض الاسنان الأخرى، مثل:
- تراكم الجير.
- فراغات الأسنان.
- أمراض اللثة.
- شقوق الأسنان؛ إذ تتراكم البكتيريا بداخلها؛ حتى تصل إلى لب السن الذي يحتوي على العصب.
- صرير الأسنان؛ إذ يسبب تآكل المينا وحدوث الحساسية.
قد يساعد تنظيف الأسنان باستخدام معجون الأسنان المخصص للأسنان الحساسة على تخفيف الألم، ولكن إذا استمرت الحساسية، عليك بزيارة طبيب الأسنان لاكتشاف السبب وعلاجه.
وللتنويه، يجب الحذر من استخدام منتجات تبييض الأسنان، فقد تكون السبب وراء حساسية الأسنان؛ ومتى كنت تريد تبييض أسنانك توجه إلى طبيب الأسنان حتى لا تتفاقم مشكلة حساسية الأسنان لديك.
- 
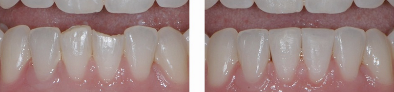
تكسر الأسنان (Chipped Teeth)
قد تتفاجئ بتكسر أسنانك بعد قضم شيء صلب، مثل: الثلج أو قطعة من الحلوى الصلبة، أو تستيقظ من نومك لتجد كسرًا في أسنانك بسبب صرير الأسنان.
يُعد تكسر الأسنان من أشهر أمراض الاسنان، وخاصة الأسنان الأمامية، ويسبب شعورًا مزعجًا عندما يلامس لسانك السن المكسور؛ وقد تشعر بألمًا نتيجة الضغط عليه.
قد لا يكون تكسر الأسنان كاملًا فيحدث ما يُعرف بتشقق الأسنان؛ الذي لا يكون ملحوظًا سوى عند الشعور بالألم أو حساسية الأسنان.
لا داعي للقلق، فالأمر بسيط للغاية، وكل ما عليك هو زيارة طبيب الأسنان في افضل عيادة اسنان بالرياض وهي مجمع عيادات رها الطبي، ليقوم بتلبيس السن بأفضل التيجان والحشوات وعلاج قناة الجذر إذا تطلب الأمر، ليعود لك الشكل الجميل لأسنانك.
- 
اعوجاج الأسنان (Crooked Teeth)
يسبب اعوجاج الأسنان حرجًا لكثير من الأشخاص ويفقدهم الثقة في أنفسهم، وعادة ما يبدأ منذ الطفولة بسبب عدة عوامل، مثل:
- الوراثة.
- صغر حجم الفك.
- صدمات الأسنان.
- مص الإبهام أو استخدام اللهاية لفترات طويلة.
وقد يحدث اعوجاج الأسنان لدى البالغين بعد أمراض اللثة وإصابات الفم، أو التقدم في العمر. وتشمل خيارات العلاج تقويم الأسنان سواء المعدني أو الشفاف أو الخزفي، ويجب زيارة طبيب الأسنان ليُحدد المناسب لك.
- 
سوء ارتصاف الأسنان (Malocclusion)
يُعد سوء ارتصاف الأسنان أحد أكثر أمراض الاسنان انتشارًا؛ إذ يصيب نصف سكان العالم تقريبًا، ويُعرف أيضًا بسوء الإطباق؛ أي عدم تطابق الأسنان العلوية مع السفلية عند إغلاق الفم.
عادة يكون السبب وراء سوء ارتصاف الأسنان وراثي، ولكن قد تظهر هذه المشكلة بعد فقدان سن أو نتيجة الصدمات التي تصيب الأسنان.
قد يحتاج سوء ارتصاف الأسنان إلى العلاج حتى لا يتسبب في تسوس الأسنان أو صعوبة المضغ أو الكلام أو حتى أمراض اللثة، ويتضمن العلاج تقويم الأسنان أو الجراحة أو خلع بعض الأسنان لإتاحة مساحة أكبر للأسنان الأخرى.
- 
صرير الأسنان (Bruxism)
يحدث صرير الأسنان بسبب احتكاك الأسنان ببعضها، سواء في أثناء النوم أو حتى عندما يكون الشخص مستيقظًا، وترجع أسباب صرير الأسنان عادة إلى عوامل نفسية، مثل: القلق والتوتر والاكتئاب.
لذا يعتمد جزء من علاج صرير الأسنان على العلاج السلوكي ومحاولة تقليل التوتر مع استخدام واقي الأسنان المعد خصيصًا وفقًا لمقاسات أسنانك.
قد لا تظن أن صرير الأسنان ضمن أمراض الاسنان، لكنه قد يؤدي إلى مضاعفات خطيرة قد تصل إلى تكسر الأسنان.
- 
الأسنان المنطمرة (Impacted Teeth)
تُعد الأسنان المنطمرة من المشكلات الشائعة في مجال أمراض الاسنان؛ والتي تحدث عندما يبقى السن داخل اللثة ولا يبرز، وحتى أذا خرج جزء منه يُعد سنًا منطمرًا، ويُعد ضرس العقل أحد أشهر الأسنان المنطمرة.
وعادة ما يكون سبب انطمار السن هو ازدحام الفك وعدم وجود مساحة كافية لخروجه؛ فيتسبب السن المنطمر في حدوث الألم وتورم اللثة فوق السن، ورائحة الفم الكريهة، والصداع المستمر، وقد يصاحبه أيضًا تورم الغدد الليمفاوية في الرقبة.
وفي الأغلب، لا يتطلب السن المنطمر أي تدخل طبي طالما لم يسبب أي مشكلة، ولكن مع ظهور المشكلات المذكورة سابقًا، قد تحتاج لزيارة الطبيب لخلع هذا الضرس.
- 
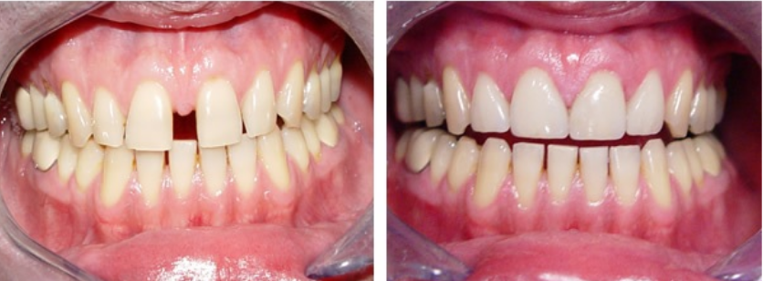
فلج الأسنان (Diastema)

يُعرف فلج الأسنان بظهور فراغات بين الأسنان، ويُعد الفلج بين الأسنان الأمامية هو الأكثر شيوعًا، وعادة لا يحتاج فلج الأسنان إلى أي تدخل طبي طالما لم يسبب أي مشكلات صحية.
أما إذا كان الفراغ بين الأسنان ناتجًا عن التهاب اللثة؛ فيجب علاج الالتهاب أولًا، ويمكن بعد ذلك تحسين مظهر الفلج باستخدام تقويم الأسنان، أو قشور الفينير، أو التيجان.
والآن بعدما تعرفنا إلى أشهر أمراض الاسنان؛ دعونا نجيب على أهم الأسئلة التي قد تدور في أذهانكم، فكونوا معنا.
الأسئلة الشائعة
إليك أهم الأسئلة الشائعة حول أمراض الفم و الأسنان:
ما أسباب الإصابة بأمراض الفم و الأسنان؟
تختلف أسباب الإصابة بأمراض الفم و الأسنان باختلاف المشكلة كما ذكرنا سابقًا، ولكن هناك أسباب عامة تسبب أغلب مشكلات الفم والأسنان، نذكر منها ما يلي:
- الإفراط في تناول السكريات.
- التدخين.
- تناول الكحول.
- سوء العناية بالفم والأسنان، سواء عدم تنظيف الأسنان بالفرشاة والمعجون أو عدم إزالة بقايا الطعام العالقة بين الأسنان بخيط الأسنان.
- الإفراط في استخدام منتجات تبييض الأسنان.
- تراكم الجير.
- عدم زيارة طبيب الأسنان بشكل دوري لاكتشاف أمراض الأسنان مبكرًا وعلاجها.
- النظام الغذائي غير الصحي، الذي يفتقر إلى العناصر الغذائية الهامة لصحة الأسنان، مثل: الكالسيوم وفيتامين د.
من هم الفئات الأكثر عرضة لأمراض الاسنان؟
يُعد أصحاب الأمراض المزمنة، مثل: مرض السكري وأمراض القلب والأوعية الدموية، وأمراض الجهاز التنفسي والسرطان والأمراض المناعية، الأكثر عرضة للإصابة بمشكلات الفم والأسنان، وبالطبع كل من يهمل في صحة أسنانه يعرضها لكل أمراض الاسنان التي ذكرناه.
الخاتمة:
وختامًا، نقول أن الوقاية خير من العلاج؛ فأمراض الاسنان لا تقتصر على الأسنان فقط، بل قد تكون طريقًا لمضاعفات خطيرة تؤثر في صحتك؛ لذا فإن اتباع عادات صحية بسيطة، مثل: تنظيف الأسنان بانتظام وزيارة طبيب الأسنان بشكل دوري، يُعد أمرًا ضروريًا. وللاطمئنان على صحة فمك وأسنانك أنت وطفلك، وللكشف المبكر عن أي من مشكلات الأسنان التي ذكرناها، ننصحك بزيارة افضل عيادة اسنان بالرياض وهي عيادة الأسنان في مجمع عيادات رها الطبي، حيث ستجد نخبة من أطباء الأسنان الذين يهتمون بابتسامتك وصحة أسنانك.
المصادر:
 
                     
                                                             
                                                             
                                                             
                                                             
                                                             
                                                             
                         
                        