"لقد كانت تجربتي مع تبييض الأسنان بالليزر مبهرة حقًا، لم أتوقع أن تكون النتيجة بهذه الفعالية والسرعة. لطالما رغبت في الحصول على ابتسامة أكثر إشراقًا، لكنني كنت مترددًا في تجربة طرق تبييض الاسنان المختلفة؛ حتى قررت أخيرًا اللجوء إلى تبييض الاسنان بالليزر."
هذا ما شاركه معنا أحد عملائنا، فقررنا في هذا المقال أن نشارك معكم أهمية تبييض الأسنان وأحدث التقنيات المستخدمة في عيادة طب الأسنان في رها، ونجيب عن أسئلتكم لتتمكنوا بكل سهولة من اتخاذ قرار تبييض الأسنان عن علم وثقة. وهنيئًا لكم ابتسامتكم المشرقة مقدمًا.
ما هو تبييض الاسنان؟
يشير تبييض الاسنان إلى مجموعة متنوعة من العمليات التي تهدف إلى جعل الأسنان الطبيعية أكثر بياضًا وإشراقًا سواء كانت في المنزل أو بزيارة افضل عيادة تبييض اسنان بالرياض.
ما هو أفضل أنواع تبييض الأسنان؟
مع تطور طب تجميل الأسنان أصبح هناك عديد من التقنيات الحديثة المستخدمة في تبييض الاسنان؛ وهي:
-
تبييض الأسنان عند الدكتور
تُعد هذه الطريقة الأكثر فاعلية والأوفر في الوقت والمجهود، وتشمل التقنيات التي يستخدمها أطباء الأسنان للتبييض ما يلي:
-
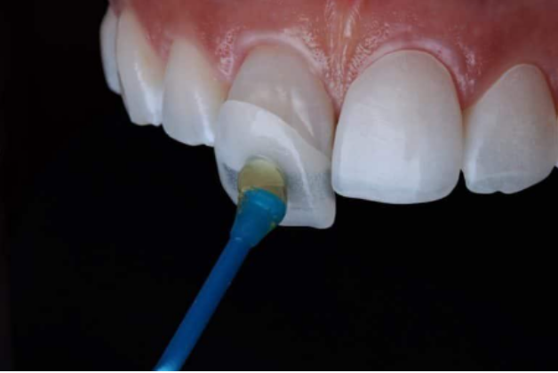
تبييض الاسنان بالليزر

تُعد هذه الطريقة من أحدث التقنيات لتبييض الاسنان والتي تعتمد على تطبيق مادة مبيضة على الأسنان ثم تُنشط بواسطة الحرارة المنبعثة من جهاز الليزر، وتحتاج المرور على كل سنة على حدى، مما يستغرق بعض الوقت.
-
تبييض الاسنان باستخدام الزوم
وهي طريقة تعتمد على تطبيق جيل من بيروكسيد الهيدروجين؛ يتبعها استخدام أشعة فوق بنفسجية بطول موجي معين، وتستغرق وقتًا أقل من الليزر؛ إذ لا يحتاج المرور على كل سنة على حدى.
-
تبييض الاسنان باستخدام الفينير

تختلف هذه الطريقة عن أنواع تبييض الأسنان الأخرى؛ إذ تُعد من الطرق الدائمة وتعتمد على استخدام قشور تجميلية رقيقة، وتُعد خيارًا مناسبًا لمشكلات الأسنان الأخرى التي لا يمكن علاجها بطرق تبييض الاسنان التقليدية.
-
تبييض الاسنان باستخدام الحشوات البيضاء
وتختلف قليلًا عن أنواع تبييض الأسنان الأخرى؛ إذ تعتمد على تغطية الأسنان التالفة أو التي تعاني من التصبغات باستخدام حشوات تشابه لون الأسنان الطبيعي.
-
تبييض الاسنان في المنزل
تُعد هذه الطريقة مثالية لمن لا يريد تبييض الأسنان عند الدكتور؛ وقد تحقق نتائج مرضية إلى حدٍ ما، ومن
أنواع تبييض الأسنان المنزلي، ما يلي:
- قوالب التبييض المنزلية.
- معاجين التبييض.
- غسول تبييض الاسنان.
- شريط تبييض الاسنان (Whitening Strips)
- جل التفتيح المنزلي (Whitening Gels).
- قلم التبييض.
تُرى هل كثرة إجراء تبييض للأسنان يضر بها؟ وما هي الأضرار المحتملة؟ لا يُنصح بتكرار الطرق المنزلية للتبييض بكثرة؛ حتى لا تتحسس الأسنان، أو تتآكل وتضعف مينا الأسنان؛ ويجب اتباع التعليمات المرفقة مع كل منهم؛ وإذا كنت تعاني من أي مشكلات أخرى بخلاف التصبغات البسيطة؛ فمن الأفضل زيارة اقرب عيادة اسنان سواء للتبييض أو حل المشكلات الأخرى.
أهمية تبييض الاسنان في عيادة دكتور اسنان
يساعد تبييض الاسنان في عيادة طب الاسنان على الحصول على بعض المزايا مقارنة بالطرق المنزلية، منها:
- تحسين صحة الفم والأسنان، والتخلص من التصبغات والبقع التي قد تسبب تسوس الأسنان أو أمراض اللثة.
- الحصول على ابتسامة أكثر بياضًا واشراقًا في أقصر وقت ممكن.
- طول مدة النتائج مقارنة بالمنتجات المنزلية.
- تقليل حساسية الأسنان التي تسببها المواد المبيضة بتركيزات غير مناسبة.
- قلة التكلفة نظرًا لعدم الحاجة إلى تكرار الجلسات مثل المنتجات المنزلية.
الحالات التي تحتاج إلى تبييض الاسنان
يمكن لأي شخص تبييض أسنانه والحصول على ابتسامة مثالية سواء عند طبيب الأسنان أو حتى في المنزل، وذلك لعلاج التصبغات السطحية الناتجة عن الشاي والقهوة والتدخين أو حتى التصبغات الداخلية التي تكون أسفل مينا الأسنان وتكون عادة بنية أو رمادية.
تُرى هل التبييض آمن خلال فترة الحمل أو الرضاعة؟ وآمن للأطفال؟ دعونا نوضح الحالات التي لا يفضل فيها تبييض الاسنان في السطور القادمة.
موانع تبييض الاسنان
هناك حالات معينة لا يناسبها تبييض الاسنان، مثل:
- النساء الحوامل أو المرضعات.
- الأطفال تحت سن 16 سنة.
- الأشخاص الذين يعانون من أمراض الأسنان، مثل: التسوس، أو الجذور المكشوفة أو أمراض اللثة؛ إذ تحتاج إلى العلاج أولًا قبل التبييض.
- مرضى سرطان الفم أو التهابات الفم الحادة.
- حساسية الأسنان الشديدة.
- الحساسية من مواد التبييض.
- استخدام تركيبات الأسنان، مثل: الحشوات، والتيجان، والجسور، والزراعات السنية؛ إذ لا تتأثر بمواد التبييض.
ما هي فاعلية تبييض الاسنان؟
لا تمتلك طرق تبييض الاسنان المنزلية نفس فعالية تبييض الاسنان في عيادة طب الاسنان؛ إذ تعطي الطرق المنزلية تفتيحًا للأسنان بدرجة أو درجتين وتستمر النتائج عادة لعدة أيام، وبالمقابل، يُساعد التبييض عند طبيب الأسنان على الحصول على نتائج أفضل وأسرع وتدوم أطول.
تُرى هل تنجح عملية التبييض مع كل المرضي؟ وهل تبقى نتيجة تبييض الأسنان إلى الأبد؟ هل تعود الاسنان صفراء بعد التبييض؟ -بالطبع- لا تدوم نتيجة تبييض الأسنان للأبد وقد تعود الأسنان للاصفرار مرة أخرى، ولذا تعتمد النتائج على عدة عوامل تؤثر في بياض الأسنان، مثل: نوع التصبغات، وحالة الأسنان، وعمر المريض، واهتمامه بصحة فمه وأسنانه ونظامه الغذائي.
فعلى سبيل المثال تستجيب التصبغات الخارجية الناتجة عن التدخين والمشروبات الداكنة للتبييض بصورة أفضل من التصبغات العميقة الناتجة عن الأدوية أو إصابات الأسنان.
لذا فإن استشارة طبيب الأسنان لتقييم كل حالة على حدى هي أولى خطوات تحقيق أفضل ابتسامة مشرقة وأسنان ناصعة.
نصائح للحفاظ على تبييض الاسنان
نعلم كم تكون تلك الابتسامة الناصعة هامة؛ لذا يُنصح بتنظيف الأسنان بالفرشاة والمعجون مرتين يوميًا وخيط الأسنان مرة يوميًا وينصح بالمتابعة المنتظمة مع طبيب الأسنان.
ومن أبرز النصائح لحساسية الأسنان بعد التبييض هو استخدام معاجين مخصصة للأسنان الحساسة، وتجنب المشروبات الساخنة أو الباردة جدًا، والأطعمة الحمضية والحلويات؛ وفي حال استمرار حساسية الأسنان؛ يُنصح باستشارة اقرب عيادة اسنان -في أقرب وقت-.
اسعار تبييض الاسنان
تختلف أسعار تبييض الأسنان بناءً على نوع التبييض المستخدم، سواء كان في المنزل أو في العيادة، ومدى التصبغات على الأسنان. وللحصول على أفضل الأسعار؛ استفسر عن عروض أفضل عيادة أسنان بالرياض لضمان جودة الخدمة والنتائج.
الخاتمة:
وفي الختام، فإن تبييض الاسنان ليس مجرد إجراء تجميلي وحسب، بل هو خطوة أساسية نحو تعزيز الثقة بالنفس والتمتع بابتسامة مشرقة، ومع تعدد أنواع تبييض الاسنان، يظل تبييض الاسنان في العيادة هو الخيار الأسرع والأكثرأمانًا وفاعلية، لذا ننصحك بزيارتنا في عيادة طب الأسنان في مجمع رها الطبي لتجد الابتسامة عنواننا الأول بفضل طاقم من الأطباء ذوي الخبرة وأحدث تقنيات تبييض الاسنان؛ ونوفر لك تجربة تحقق لك حلمك في ابتسامة لا تُقاوم.
المصادر: